动态新闻
组团式帮扶丨实战带教 不忘初心 ——北京第五批第三期“组团式”援青队员史淑利医生纪实
经过3个多月的“组团式”帮扶,北京第五批第三期“组团式”援青队员史淑利医生通过教学查房、手把手带教等方式,使当地医生的临床技能有了明显提升。玉树州称多县是结核病高发地区,经常有许多因胸腔积液患者前来就诊,以往这些患者大部分需要去百公里以外的玉树州或者更远的西宁市进行诊治。史淑利医生虽是消化科专业,但凭借自己过硬的医术,多年的临床经验,已经成功诊治了多例重症肺炎、心衰、胸腔积液等患者。
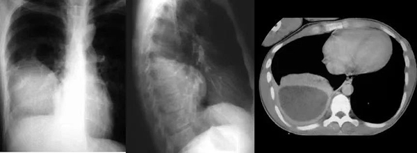
近日,一位70岁男性患者,因“反复咳喘3余年,加重1周”住院治疗。患者入院后行胸部CT提示右侧大量胸腔积液,进一步完善胸腔彩超提示:右侧包裹性胸腔积液。患者胸闷、气短症状明显,偶有痰中带血情况。抗感染治疗效果不佳。

为进一步明确诊断、改善患者症状,拟行包裹性积液胸腔穿刺置管引流术。但常规胸腔穿刺引流极易造成穿刺损伤及穿刺失败风险,较以往相比因技术难度和风险高。史淑利医生与青南支医专家范得艳医生综合分析患者病情后,决定联合超声科为患者行床旁超声引导下包裹性胸腔积液穿刺置管引流术。在手术过程中,由超声科医生首先对包裹性积液进行定位,由史淑利医生亲自为患者进行胸腔积液穿刺置管术,手术顺利完成。整个过程如同一场精细的外科手术,每一个步骤都严谨而准确。术后史淑利医生向年轻医生进行了胸腔穿刺术和胸腔积液的教学查房,向她们讲解胸腔穿刺的适应症、禁忌症、注意事项、可能出现的不良反应及处置方案,胸腔积液鉴别诊断。通过胸水结果分析,患者明确诊断“肺结核;结核性胸膜炎”,为患者制定了正规的抗结核治疗及随访方案。患者胸闷、气短症状得以缓解,患者及家属对治疗效果非常满意,对我院医护人员的专业技术和精心护理给予了高度赞扬。

十月份以后的青海省玉树州称多县也开始了天寒地冻的日子,白雪皑皑的雪域高原上更加的缺氧、寒冷和干燥。史淑利医生经常亲力亲为,实战带教,通过“传、帮、带”模式,因地制宜,充分发挥自己技术优势和“组团式”帮扶的初心。坚持“缺氧不缺精神,艰苦不拍吃苦,海拔高境界更高”的援青精神,实现 “输血”到“造血”的转变。此次称多县人民医院内科开展的首例超声引导下包裹性胸腔积液穿刺置管引流术,也标志着称多县人民医院在胸腔积液治疗领域又迈出了坚实的一步。
上一篇: 人才引进丨我院面向全球招聘青年才俊







京公网安备 11010702002281号